Professional Dentist in Hixson, TN
We like to keep things fun and upbeat while providing high-quality service to all our patients. Our dentists and staff are proud to take care of our community's dental health, and we welcome all our neighbors to our clinic in Hixson, TN!
Our team at Hixson Pike Dental is dedicated to making your visits enjoyable! We know that the best environment to ensure your comfort is a clinic that's:
- Calm
- Compassionate
- Upbeat
Even if you are anxious about seeing the dentist, you still deserve proper dental care! That's why our team will support you and work within your comfort level, so you can get the care you need.
Call us at
(423) 842-2420 to schedule your first appointment today. We look forward to making you smile!
How Can We Help You?
Emergency Care
Do you have a dental emergency? Call us right away at (423) 842-2420 to schedule a priority appointment! Our team will advise you on how to manage your pain and how to prevent further injury or damage to your teeth. You can also reach out to us online at the link below.
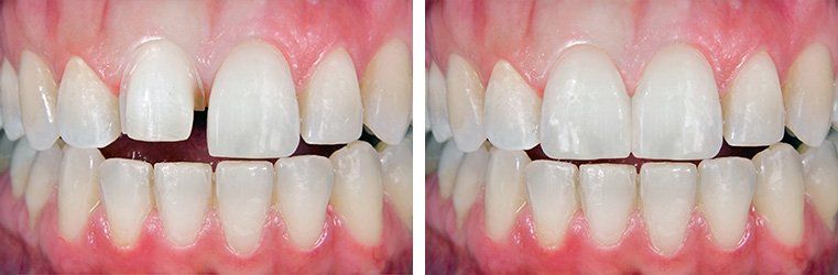
Smile Gallery
View Full GalleryDo You Have Any Questions?
Call our office at (423) 842-2420 to talk to our caring, knowledgeable, and energetic team or use the button down below to contact us using an online form.
















